Blog
2021年6月1日

カテゴリ:症例写真, 目袋・目のくま 投稿日:2021年6月1日
こんにちは。広島のすず美容形成外科医院の岩垂鈴香です。
年を取ると、目の下のたるみやふくらみが目立つようになり、その結果老けて見えてしまいます。目の下のふくらみはお化粧で隠しにくく、どうしたら良いか悩んでいる方は多いと思われます。
目の下に脂肪が出てくるのは、眼球の下にある眼窩脂肪が重みで押し出さされていることが原因です。
下まぶたの皮膚は薄く、容易に膨らんで伸びるため、たるみも生じやすくなります。下まぶたの膨らみは疲労顔に見えてしまい、影ができることで顔全体が不健康で疲れた表情に見えてしまいます。
この余分な脂肪を取り除くと、目の下のふくらみや気になるクマが解消されることになります。
脂肪を取り除く手術は、経結膜脱脂術や下まぶた切らないたるみ取りなどと呼んでいますが、下まぶたのふくらみの原因となる余分な脂肪をまぶたの裏側から取り出す方法です。余分な脂肪はその方の状態や脂肪量に合わせて切除します。
皮膚を切開しないので、皮膚を切開する手術に比較して、ダウンタイムが軽いのが特徴です。
その代わり皮膚を切除できないので、皮膚が余剰でたるんでいる方は改善度が低くなり、皮膚の余剰による皺は改善しません。
皮膚が余剰な場合は、皺を予防するために経結膜脱脂と同時に、コラーゲンの注射を行っています。
それにより、皮膚を切開する下まぶたのたるみ取りが適応の方でも、ある程度皺を予防することができます。しかし、皮膚の余剰が強い場合が、皮膚を切除する手術方法を選択したほうが賢明です。
手術方法は、点眼麻酔と局所麻酔を併用し、下眼瞼の眼瞼結膜を1㎝ほど切開します。
ここからすぐ下に眼窩脂肪が存在するので、取り出します。
合併症としては、内出血や腫脹が一番気にされることですが、1週間程度で収まります。内出血の程度が強いと、他人にばれやすくなってしまいます。結膜が充血することもあります。
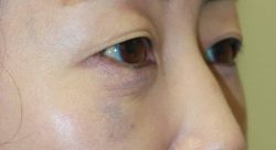
モニターの写真を供覧させて頂きます。
経結膜脱脂術+コラーゲン注射の方です。
術前

術後1週間

術後1か月

術後2カ月

すず美容形成外科医院(広島の美容外科、形成外科、美容皮膚科、二重形成、鼻形成、しみ、しわ、たるみ)お電話は082-222-6671 HPは http://www.suzu-clinic.com メールでのお問い合わせは http://www.suzu-clinic.com/contact/index.html#mail_form